지난 3월 23일은 세계 강아지의 날을 맞이하여 대구보건고등학교에서는 '동물윤리와 반려문화 예절 실천 선서식'이 열렸다. 본 저자도 강연자로 참석하여 인간과 반려동물의 고고학적 공존 역사를 통해 생명 존중의 필요성을 강연하였다.
지난 3월 23일은 세계 강아지의 날이었다. 세계 각국에서 개의 고마움을 되새기고, 성숙한 반려동물 문화를 확산시켜 나가자는 취지를 담은 기념일이다.
대구보건고등학교에서는 이를 기념해 '동물윤리와 반려문화 예절 실천 선서식'이 열렸다. 동물케어과 학생들과 교직원 200여 명이 참여해 바람직한 반려동물 문화 실천을 다짐하고 생명존중의 가치를 되새기는 시간을 가졌다.
과거 지식과 기술 습득 위주의 고등학교 교육이 이제는 시대의 변화에 발맞춰 정서 산업분야로 한층 확장되고 있음을 느낄 수 있었다. 반려동물 문화가 사회 전반을 넘어 교육 현장과 일상 속에까지 자연스럽게 스며들며, 우리 사회가 지향하는 새로운 시민 의식의 한 축으로 자리 잡아가고 있음을 확인할 수 있었다.
국내 반려동물 보유 가구 비율은 30%에 육박하고 있으며, 반려견만 보더라도 약 500만~550만 마리 규모에 이른다. 이는 국내 13세 이하 아동 인구(약 550만~600만 명)와 거의 비슷한 수치이다. 반려동물이 단순히 '키우는 존재'가 아니라 '함께 살아가는 가족'으로 자리 잡고 있으며, 그에 따른 사회적·경제적 구조 역시 빠르게 재편되고 있음을 예상할 수 있다.
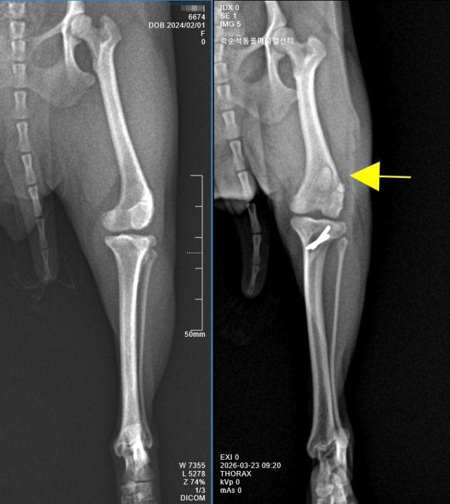
급속한 반려동물 문화의 확산과 더불어 국내 수의학의 위상 또한 눈에 띄게 높아지고 있다. 그 배경에는 한국만이 보이는 하나의 특징적인 의료 현상이 존재한다. 바로 세계 어느 나라보다 슬개골 탈구 수술의 빈도가 유난히 높다는 점이다.
국내 반려견은 소형견의 비중이 유난히 높다. 주거 환경의 특성상 작은 체구의 개를 선호하는 경향이 강해, 말티즈·포메라니안·푸들 등 주요 품종 역시 다른 나라에 비해 체구가 더 작은 경우가 많다. 이러한 특성으로 인해 슬개골 탈구와 같은 골격계 질환이 잠복되어 태어나는 개체들이 많아졌다.
여기에 더해, 성장기 동안의 미끄러운 바닥 환경과 과도한 체중 증가는 슬개골 탈구를 촉발하거나 악화시키는 중요한 후천적 요인으로 작용하고 있다.
그 결과, 세계 어느 나라보다 슬개골 탈구 수술의 빈도가 높으며, 수술의 난이도 또한 높은 편이다.
체중 3kg인 반려견의 슬개골탈구 수술 공간은 사람의 손가락 관절 정도에 비유될 정도다. 그 좁은 공간 내에서 활차구를 깍아내고, 경골결절을 자른 후 변위시켜 고정하는 섬세한 시술이 이루어진다. 이처럼 소형견을 대상으로 한 고도의 섬세한 시술들이 축적되면서, 국내 반려동물 수의학의 수준은 빠르게 발전해 왔다.
반려견의 슬개골 탈구 수술은 단순한 정형외과적 처치를 넘어선다. 이는 반려동물의 삶의 질은 물론, 보호자의 인식과 기대까지 함께 고려해야 하는 복합적 의료의 대표적인 사례라 할 수 있다.
같은 '슬개골 탈구 수술'이라는 이름을 사용하더라도, 실제 적용되는 수술방법은 골의 변형정도, 골밀도 정도, 염증의 진행 여부 등을 고려하여 다양하게 적용되어 진다. 또한 수술 후 X-ray 검사에서 슬개골의 위치가 정상적으로 교정된 것으로 보이더라도, 임상적으로는 통증이 지속되는 경우가 적지 않다. 경우에 따라서는 퇴행성 관절염이 진행되며, 보행 장애와 만성 통증으로 인해 삶의 질이 저하되는 결과로 이어지기도 한다.
따라서 수술에 앞선 환자견의 정밀한 평가는 무엇보다 중요하다. 개체에 따라서는 수술 전 CT 검사가 필요한 경우도 적지 않다. 또한 골밀도가 충분하지 않은 경우에는 자가 골이식이 필요할 수 있으며, 슬개골 탈구로 내원했던 사례에서 실제로는 전방십자인대 손상이 동반된 경우도 빈번하게 확인된다.
반려견의 슬개골 탈구 수술은 단순한 정형외과적 처치를 넘어선다. 반려견의 성격과 과체중여부, 골밀도, 통증에 대한 민감도 등을 고려하여 수술과 재활 방법이 달라지기도 한다. 또한 수술 후에도 반려동물의 삶의 질과 보호자의 기대까지 고려해야 하는 복합적 의료의 대표적인 사례라 할 수 있다.
같은 '슬개골 탈구 수술'이라는 이름을 사용하더라도, 각 개체마다 적용되어지는 술식은 반려견의 골 변위 정도와 골밀도, 관절염의 진행 정도에 따라 달라질 수 있다.
수술 후 X-ray 검사 평가에서 슬개골의 위치가 정상 위치에 교정되었다 하더라도, 반려견이 딛지 않으려 하거나 통증과 염증이 지속되는 경우가 적지 않다. 심한 경우 퇴행성 관절염이 진행되거나 만성 통증으로 인해 삶의 질이 현저히 저하되는 결과로 초래하기도 한다.
그래서 슬개골 탈구 수술은 수술에 앞서 환자견에 대한 내과적 평가와 골밀도, 관절염, 십자인대 평가 등의 검사 과정을 거친다. 골변형 및 골질환이 염려된다면 CT 검사가 선행되기도 한다.
골밀도가 약한 경우 안정적인 골유합을 유도하기 위해서는 자가 골이식이 이루어지기도 한다.
그렇다면 슬개골탈구는 예방이 가능할까? 가능하다.
선천적 소인을 바꿀 수는 없지만, 후천적 요인을 주의한다면 수술로 이어질 가능성을 현저히 낮출 수 있다.
슬개골 탈구 예방법을 소개한다.
첫번째, 성장기 과체중을 피해야 한다. 입양 후 부터 생후 1살령 까지는 다리뼈의 길이 성장이 급속히 이루어진다. 성장판이 닫히고 다리뼈가 단단하게 골화 되기 전 까지 가벼운 몸을 유지하는 것이 중요하다. '많이 먹이는 것'보다는 '절제된 체중을 유지하는 것'이 가장 중요하다.
두번째, 미끄러운 실내 바닥을 피한다. 발바닥 털을 정기적으로 관리하여 발바닥의 패드(젤리) 부위가 지면에 접촉하도록 유도한다. 안정적인 디딤과 균형 잡힌 체중 분배가 될수록 무릎 관절이 정상적으로 성장할 수 있다.
셋째, 칼슘 등의 영양제 보충은 오히려 해가 될 수 있다. WSAVA Global Nutrition Committee(세계소동물수의사회 영양가이드라인)는 균형 잡힌 건강한 사료를 급여하는 경우 추가적인 칼슘 보충은 불필요하며, 보충제 사용이 오히려 영양 불균형을 유발할 수 있음을 경고하고 있다.
슬개골탈구 수술은 개의 성격을 고려하여 선택되어지기도 한다.
개가 점프 후 착지할 때, 무릎(슬관절)에 가해지는 충격은 매우 크다. 일반적으로 보행 시에는 체중의 약 1~2배, 달리기에서는 3~4배, 점프 후 착지 시에는 약 5~7배 이상의 하중이 순간적으로 무릎에 가해질 수 있다고 한다. 특히 반복되는 점프와 착지는 무릎 관절 뿐 아니라 십자인대 손상에도 위험한 습관일 수 있다.
성격이 온순하고 몸이 벼운 반려견은 슬개골탈구가 진행 되었음에도 불구하고, 수술 없이도 잘 지내는 경우들이 많다.
반면 활동적이고 흥분을 잘 하는 반려견은 경미한 슬개골탈구 초기 단계에서도 곧 잘 심자인대 손상이 유발되는 경우들이 많다. 이러한 성격의 반려견에게는 예방적인 목적으로 슬개골탈구가 초기단계 이더라도 수술을 적극적으로 권한다.
영양 과잉은 오히려 뼈를 약하게 만든다. 슬개골 탈구 관리는 '얼마나 잘 먹이느냐'가 아니라 '어떻게 관리하느냐'에 달려있다. 날씬한 개의 뼈가 더 건강하다는 점을 기억해야 한다.
수의사
































댓글 많은 뉴스
TK신공항 '막힌 실타래' 풀릴까…李대통령, 예정지 찾아 "사업 지연 안타까워"
"대통령도 죄 지으면 감옥 가자" vs "그래서 尹이 감옥 갔다"
"이번엔 세금 쓰지 마"…이승환, '대관 취소' 구미시장 상대 항소
정권마다 뒤집히고, 재원 조달에 발목…첫 삽은 언제? [TK신공항 정부 나서야]
진성준 "국민배당금이 왜 사회주의냐"…장동혁 "전형적인 조폭 마인드"